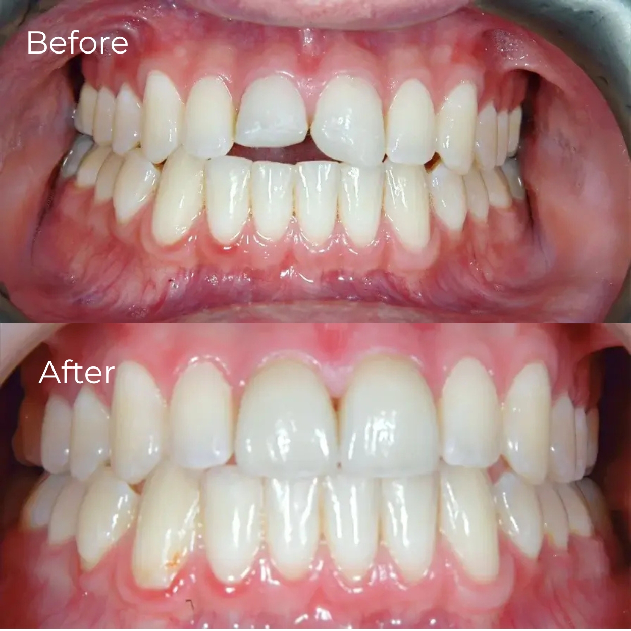
Porcelain Veneers West Orange
e my-auto mx-auto pb-10 [–thread-content-margin:–spacing(4)] @[37rem]:[–thread-content-margin:–spacing(6)] @[72rem]:[–thread-content-margin:–spacing(16)] px-(–thread-content-margin)”>
Enhance your smile with Porcelain Veneers in West Orange – a durable, natural-looking solution for chipped, stained, or uneven teeth. Achieve the perfect smile you’ve always wanted!




